Έγχυση πλάσματος πλούσιου σε αιμοπετάλια (Platelet Rich Plasma, PRP) σε χρόνια τενοντίτιδα του υπερακανθίου

 

Πρόκειται για μια σχετικά καινούρια θεραπευτική μέθοδο, όπου γίνεται υπερηχογραφικά καθοδηγούμενη έγχυση αυτόλογου πλάσματος- προηγείται αιμοληψία από τον ασθενή και κατάλληλη φυγοκέντρηση του αίματος. Το πλάσμα που λαμβάνεται είναι πλούσιο σε αυξητικούς παράγοντες που περιέχουν τα αιμοπετάλια ώστε να επάγουν την φυσιολογικότερη επούλωση και αποκατάσταση των ιστών. Χρησιμοποιείται επιτυχώς σε τενοντίτιδες της ωμικής ζώνης, επικονδυλίτιδες, πελματιαία απονευρωσίτιδα, αλλά και εκφυλιστικές καταστάσεις, όπως στην πρώιμη οστεοαρθρίτιδα του γονάτου και του ισχίου.

 

  

 

 

 

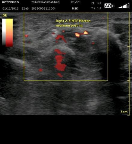
Το νευρίνωμα του Morton αποτελεί συχνό αίτιο πόνου στο άκρο πόδι -μεταξύ των μεταταρσίων- συχνά δε διαλάθει της προσοχής και της διάγνωσης με συνέπεια οι ασθενείς να ταλαιπωρούνται για καιρό με πόνο που τους ενοχλεί στο βάδισμα και την όρθια στάση κυρίως. 

Με τον υπέρηχο επιτυγχάνεται σε μεγάλο ποσοστό έγκυρη διάγνωση (και έγκαιρη αν κλινικά κινήσει την υποψία του γιατρού), ενώ υπάρχει και η δυνατότητα κατευθυνόμενης έγχυσης κορτιζόνης γύρω από το νευρίνωμα με πολύ καλά ποσοστά επιτυχίας και επακόλουθη ανακούφιση του ασθενούς.

 

Έγχυση PRP σε μερική ρήξη υπερακανθίου
Νευρίνωμα του Morton